研究分野
神経内視鏡グループ
神経内視鏡手術の認定医
近年、脳神経外科においても内視鏡を用いた手術が飛躍的に高まっています。日本神経内視鏡学会 (http://square.umin.ac.jp/jsne/qualifications.html) では平成18年より技術認定制度が発足しました。神経内視鏡の基本的な取り扱い手技を認定する制度です。当科では技術認定医の指導のもとに、下記のような手術を数多く施行しています。
経鼻アプローチによる神経内視鏡手術
(適応疾患:下垂体腺腫、ラトケ嚢胞、頭蓋咽頭腫、頭蓋底髄膜腫、脊索腫など)
低侵襲で、広角な視野が得られる内視鏡の利点を生かした経鼻的経蝶形骨洞手術を行っています。ナビゲーションやVEP (視覚誘発電位)なども併用し、安全性の高い手術を目指しています。 巨大な腫瘍においても耳鼻科医と協力し、経上顎洞法や拡大蝶形骨洞法など広範囲に病変を観察できる方法を行います。ときには当科の開頭チームと協力し経鼻と開頭を同時で行うことで、病変の徹底切除を達成しています。また、内分泌内科や小児科(小児内分泌)と協力し、術前の内分泌機能評価や術後のホルモン補充療法も行っています。

経鼻と開頭による同時手術の風景
脳室内・脳実質内病変に対する神経内視鏡手術
(適応疾患: 水頭症、脳内出血、脳腫瘍など)
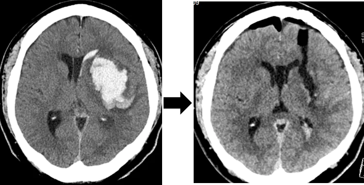
水頭症ではシャント留置が不要な第3脳室底開窓術を行っています。また、脳内出血や脳腫瘍においても従来の開頭手術ではなく、穿頭/小開頭で内視鏡下の腫瘍摘出や血腫除去術を積極的に取り組んでいます。

内視鏡による脳内血腫の除去 (左: 手術前 右: 手術後)
研究
上記で述べた手術を含む臨床から得られた成績や疑問を生かすために下記のような研究を中心に行っています。
1) 下垂体腫瘍における頭痛の発症機序
頭痛は視力視野障害、下垂体機能不全とともに下垂体腫瘍による症状の1つです。しかしながら、本疾患における頭痛の発生機序に関しては明らかな定説はありません。頭痛の発生機序としては腫瘍周囲の硬膜に分布する神経への圧迫や炎症の波及などが有力ですが、当科で治療された下垂体腫瘍のデータから頭痛の性状や腫瘍の画像的な特徴や腫瘍内圧の結果を解析してきました。下垂体腫瘍の一つであるラトケ嚢胞において、小さなサイズであっても炎症の波及によりに頭痛が惹起されと言われています。これを適切に手術することで頭痛を改善できることを明らかにしました (Fukui I et al. World Neurosurg 2017)。また、下垂体腺腫においてはトルコ鞍内圧と頭痛との関係に着目しました。経鼻的下垂体腫瘍摘出術中に脳圧センサーを用いて腫瘍内圧を測定し、その相関された結果とともに頭痛のメカニズムを報告しています (Hayashi Y et al. Neurosurgery 2019)。今後は手術を行う前に頭痛がどれくらい改善されるか予想できるような研究を目指しています。

トルコ鞍内圧測定の模式図と実際
(Hayashi Y et al. Neurosurgery 2019)
2) 下垂体腫瘍における尿崩症の発生と画像的解析
中枢性尿崩症は、下垂体腫瘍の症状の一つです。また、下垂体腫瘍を摘出した際の周術期合併症の一つで、下垂体後葉からのバゾプレッシン分泌障害により発症します。バゾプレッシンはMRIのT1強調画像で下垂体後葉の高信号により存在が示されます。下垂体柄の高信号の形態によって尿崩症からの回復時期が予測できることを報告しました (Hayashi Y et al. Pituitary 2016)。また、ラトケ嚢胞においても尿崩症で発症する症例を解析し、発症の特徴と予後について報告しています(Oishi M et al. Clin Neurol Neurosurg 2018)。現在は下垂体後葉から分泌されるバゾプレシンのほかにオキシトシンについても着目し、MRI画像との関連について研究しています。

ラトケ嚢胞の内容成分と病理所見
(Oishi M et al. Clin Neurol Neurosurg 2018)
3) 先端巨大症における臨床的特徴と手術に及ぼす影響
先端巨大症は成長ホルモン産生下垂体腺腫が原因として起こり、様々な合併症を誘発します。これまで内分泌・代謝内科と協力し、多くの先端巨大症患者を治療してきました。その中で先端巨大症に特有の臨床的特徴を見出し、手術における有用性を報告しています。内頚動脈の解剖的特徴 (Sasagawa Y et al. Pituitary 2016) やトルコ鞍の空洞化の病態と手術に与える影響を報告しました(Sasagawa et al. Pituitary 2017)。また近年、増加している高齢者の先端巨大症の臨床的特徴と手術成績についても報告しています (Sasagawa et al. World Neurosurg 2018)。今後は手術だけでなく先端巨大症の薬物療法とその効果についても研究を進めています。

トルコ鞍空洞症を伴った先端巨大症
(Sasagawa et al. Pituitary 2017)
4) 新たな神経内視鏡機器の開発
神経内視鏡手術で必要とされる医療機器の開発を金沢大学工学部との共同研究で行っています。とくに脳腫瘍の内視鏡手術では出血を最小限にすることが重要です。鉗子で腫瘍をつかんだ際に血管の拍動を検出できるような機器の開発を目指し、その基礎的な実験結果を報告しています (Yokota H et al. Sensors 2019)。今後は実際の動物血管を用いてよりヒトの生体に近い環境で実験を行う予定です。

腫瘍の血管を把持した際に拍動を感知する実験
(Yokota H et al. Sensors 2019)
腫瘍摘出手術において隠れた血管を感知するグリッパーを開発